Cornea | Texas Tech University Health Sciences Center

Eye Atlas Contributors: Jay Bradley, MD, Kelly Mitchell, MD, Leo Dominguez, MD, Mark Morgan, MD , Allan M. Eisenbaum, MD, Aleem I. Mughal, Kenn A. Freedman, MD, PhD, Terry W. Nelson, OD, Daniel Good, MD, Ted W. Reid, PhD, Clint Gregg, MD, Raymond Theodosis, Taryn Mathews, OD, Cathy Y. Wittman, OD, David L. McCartney, MD, Rockefeller Young, PhD, Kim Le 

  • Acanthamoeba Keratitis
  • Acute Hydrops in Keratoconus
  • Acute Hydrops in Keratoconus
  • Acute Hydrops in Keratoconus
  • Acute Hydrops in Keratoconus
  • Acute Hydrops in Keratoconus
  • Acute Hydrops in Keratoconus
  • Anesthetic Abuse
  • Anesthetic Abuse
  • Anesthetic Abuse
  • Apical Corneal Scarring and Fleischer Ring in Keratoconus
  • Bullous Keratopathy
  • Bullous Keratopathy
  • Buphthalmos Due to Congenital Glaucoma
  • Calcium Deposit in Cornea Secondary to Timolol Plus Pred Phosphate
  • Calcium Deposit in Cornea Secondary to Timolol Plus Pred Phosphate
  • Calcium Deposit in Cornea Secondary to Timolol Plus Pred Phosphate
  • Cogans Interstitial Keratitis
  • Cogans Interstitial Keratitis
  • Conjunctivalization Due to Prior Chemical Burn
  • Conjunctivalization Due to Prior Chemical Burn
  • Corneal Blood Staining After Hyphema
  • Corneal Edema Due to Descemet's Membrane Detachment
  • Corneal Edema Due to Descemet's Membrane Detachment
  • Corneal Edema Due to Descemet's Membrane Detachment
  • Corneal Laceration
  • Corneal Laceration
  • Corneal Laceration
  • Corneal Laceration
  • Corneal Laceration
  • Corneal Laceration
  • Corneal Laceration
  • Corneal Laceration
  • Corneal Laceration
  • Corneal Laceration
  • Corneal Laceration
  • Corneal Laceration
  • Corneal Laceration
  • Corneal Laceration
  • Corneal Scarring and Extensive Symblepharon Due to Alkali Burn
  • Corneal Scarring and Extensive Symblepharon Due to Alkali Burn
  • Corneal Scarring and Extensive Symblepharon Due to Alkali Burn
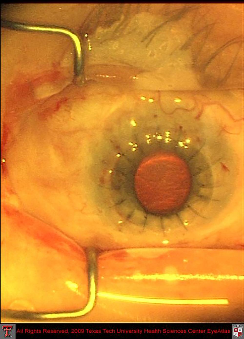
  • Corneal Transplant with Running Suture
  • Descemet's Stripping Automated Endothelial Keratoplasty Postoperative Day One
  • Embedded Corneal Metallic Foreign Body
  • Embedded Corneal Metallic Foreign Body
  • Endothelial Graft Rejection with Rejection Line
  • Exposure Keratopathy and Dilated Conjunctival Vein Due to Thyroid Eye Disease
  • Expression of Crystalline Lens Through Corneal Perforation
  • Extensive Corneal Neovascularization
  • Filamentary Keratitis
  • Filamentary Keratitis with Palpebral Conjunctival Filaments
  • Focal Limbal Stem Cell Deficiency
  • Herpes Epithelial Keratitis
  • Infections Crystalline Keratopathy
  • Labrador Dystrophy
  • Labrador Dystrophy
  • Limbitis Due to Chicken Pox Lesion at Lid Margin
  • Limbitis Due to Chicken Pox Lesion at Lid Margin
  • Nasal Pterygium
  • Numerous Intracorneal Metallic Foreign Bodies After Blast Injury
  • Numerous Intracorneal Metallic Foreign Bodies After Blast Injury
  • Phylyctenule with Extensive Neovascularization
  • Phylyctenule with Extensive Neovascularization
  • Phylyctenule with Extensive Neovascularization
  • Phylyctenule with Extensive Neovascularization
  • Phylyctenule with Extensive Neovascularization
  • Posterior Polymorphous Dystrophy
  • Posterior Polymorphous Dystrophy
  • Rosacea Blepharoconjunctivitis with Corneal Scarring and Neovascularization
  • Rosacea Blepharoconjunctivitis with Corneal Scarring and Neovascularization
  • Rust Ring After Metallic Corneal Foreign Body Removal
  • Severe Corneal Ectasia and Aphakia in Keratoconus
  • Severe Pseudomonas Keratitis
  • Severe Pseudomonas Keratitis
  • Severe Pseudomonas Keratitis
  • Symblepharon and Corneal Scarring Due to Battery Acid Burn
  • Symblepharon and Corneal Scarring Due to Battery Acid Burn
  • Thermal Burn to Cornea and Lower Lid
  • Thermal Corneal Burn After Penetrating Keratoplasty
  • Thermal Corneal Burn After Penetrating Keratoplasty